
복부 통증은 원인이 다양하고 증상도 복잡해서, 단순한 진찰만으로는 정확한 진단이 어렵습니다. 이럴 때 빠르고 정밀하게 원인을 파악하는 데 도움이 되는 영상검사가 바로 복부 CT검사입니다. 이번 글에서는 복부 CT검사의 목적, 검사 과정, 필요한 경우, 주의사항 등을 상세히 알아보겠습니다.
복부 CT검사란?
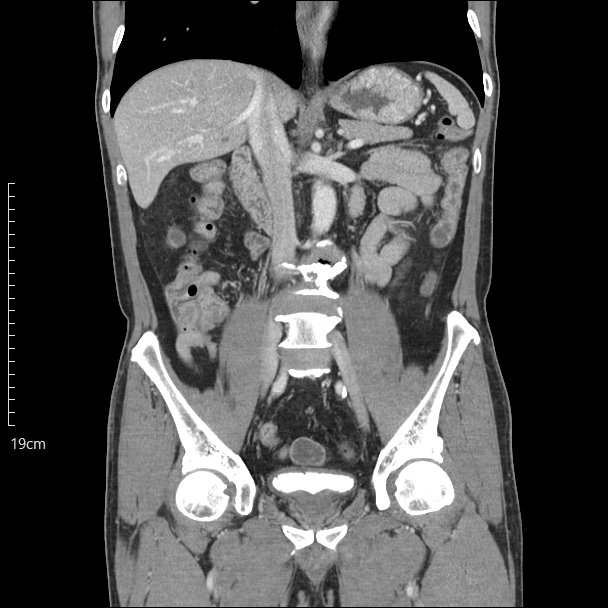
복부 CT(Computed Tomography)는 X-ray를 다양한 각도에서 촬영한 뒤, 컴퓨터로 단면 영상을 재구성해 복부 장기와 구조물을 정밀하게 확인할 수 있는 검사입니다. 일반 X-ray보다 해상도가 높고, 3차원적인 정보 제공이 가능해 응급 진단과 정밀 평가에 널리 사용됩니다.
복부 CT검사는 언제 필요한가요?
복부 CT는 다음과 같은 경우에 주로 시행됩니다.
- 복통 원인 불명: 충수염, 담낭염, 췌장염, 장염 등 감별이 필요할 때
- 내출혈 또는 외상: 사고 후 장기 손상 여부 확인
- 종양 확인: 간, 췌장, 신장, 부신 등에 혹이 의심될 때
- 장 폐쇄, 장천공: 수술 필요 여부 평가 시
- 암 진단 및 전이 확인: 기존 암의 진행 여부 확인 목적
복부 CT검사로 볼 수 있는 주요 장기
- 간, 담낭, 췌장, 비장
- 위, 소장, 대장
- 신장, 부신, 요로
- 복부 대동맥, 림프절 등
검사 과정은 어떻게 되나요?
- 검사 전 4~6시간 금식 (조영제 사용 시 필수)
- 금속 물품 제거 후 검사복 착용
- 필요 시 조영제 정맥주사 주입
- 검사대 위에 누워 가만히 고정된 상태로 촬영 진행 (5~10분 내외)
- 영상의학과 전문의가 영상 판독
검사는 빠르고 통증 없이 진행되며, 움직임만 최소화하면 정확한 영상 확보가 가능합니다.
조영제를 사용하는 이유는?
복부 장기는 서로 밀접하게 위치해 있기 때문에, 구분을 명확히 하기 위해 조영제(요오드계 약물)를 주입하는 경우가 많습니다. 조영제를 통해 혈관, 염증, 종양, 출혈 등을 더 뚜렷하게 확인할 수 있습니다.
조영제 주입 시 주의사항
- 신장 질환 병력이 있는 경우 사전 고지
- 알레르기 이력이 있다면 반드시 의료진에게 알리기
- 검사 후 충분한 수분 섭취로 조영제 배출을 도와야 함
복부 CT검사의 장점
- 빠른 검사: 응급 상황에서도 즉시 시행 가능
- 넓은 범위 확인: 복부 전체 장기를 한 번에 스캔
- 정확도 우수: 내출혈, 종양, 염증 등 미세 병변까지 확인 가능
복부 CT검사의 단점 및 주의사항
- 방사선 노출: 누적 노출 주의 (하지만 1~2회 수준은 안전)
- 조영제 부작용: 드물게 두드러기, 구토, 호흡곤란 등 알레르기 반응 발생 가능
- 임신 가능성: 임산부는 방사선 검사 시 반드시 의료진과 상담
검사 결과는 어떻게 확인하나요?
'영상검사' 카테고리의 다른 글
| 조영제란 무엇인가요? 부작용은 없을까? (2) | 2025.08.09 |
|---|---|
| CT와 MRI는 어떻게 다를까? 헷갈리는 검사 완벽 비교! (3) | 2025.08.07 |
| 일반인도 이해하는 CT검사! 조영제, 방사선, 부작용까지 정리 (1) | 2025.08.06 |
| “CT·MRI 결과, 직접 영상 보면 병을 알 수 있을까?” (6) | 2025.08.06 |
| MRI 검사 전 금속 제거, 꼭 해야 하나요? (4) | 2025.08.05 |