
건강검진이나 병원 진료를 통해 CT나 MRI 촬영을 한 뒤, 영상 파일을 USB나 CD로 받아본 경험 있으신가요? 많은 사람들이 병원에서 받은 CT·MRI 영상을 열어보며 직접 병이 있는지 확인해보려 합니다.
하지만 결론부터 말하자면, 전문 지식 없이 영상만 보고 병을 정확히 판단하기는 매우 어렵습니다.
영상 속 구조물, 일반인은 구분 어려워
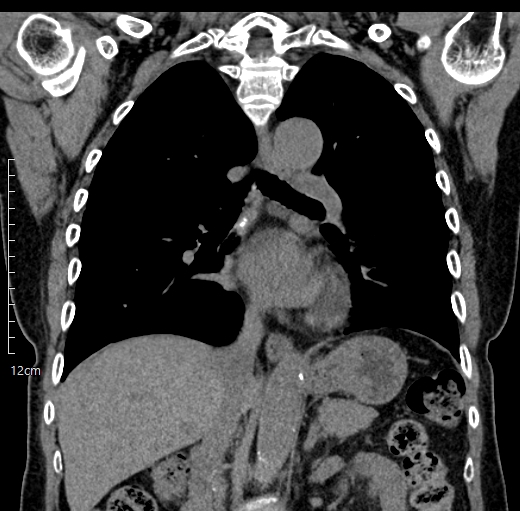
CT와 MRI 영상은 일반적인 사진과는 전혀 다릅니다. 흑백으로 구성된 단면 영상 속에는 수많은 인체 구조물들이 겹쳐 보이고, 각 조직의 밀도나 신호 강도에 따라 색이 다르게 나타납니다.
예를 들어, MRI 영상에서는 종양처럼 보이는 음영이 실제로는 혈관이나 정상 해부학 구조일 수 있으며, CT에서는 정상적인 석회화가 병변처럼 보일 수도 있습니다.
이러한 이유로 영상의학과 전문의는 최소 10년 이상의 교육과 수련을 통해 각 부위의 정상 해부 구조와 병적 소견을 구분하는 능력을 갖추게 됩니다.
영상만으로 진단이 불가능한 경우도 많다
CT나 MRI는 뛰어난 진단 도구이지만, **영상만으로 병을 확정 진단하지 못하는 경우도 많습니다.** 특히 초기 병변이나 기능적인 문제는 영상에 명확하게 나타나지 않을 수 있습니다.
예를 들어, 뇌졸중 초기에는 MRI에서도 병변이 희미하게 보이거나 전혀 보이지 않을 수 있으며, 간단한 위장 통증이라도 CT로는 이상이 없어 보이지만 실제로는 기능성 소화불량일 수 있습니다.
결국 영상은 **진단의 한 수단일 뿐이며, 환자의 증상, 병력, 혈액검사, 신체검진 등과 종합적으로 분석**되어야 정확한 결론을 내릴 수 있습니다.
‘의심 소견’은 오해 소지가 많다
영상 결과 보고서에서 흔히 볼 수 있는 표현 중 하나가 ‘의심 소견(Suspicious findings)’입니다. 이는 확정된 병이라는 의미가 아니라, 추가 검사나 임상 판단이 필요한 상태라는 뜻입니다.
하지만 환자 입장에서는 이러한 표현을 보고 불안해하거나 스스로 병을 단정지을 수 있는데, 이는 매우 위험합니다. **결과는 반드시 담당 주치의와 상담하여 해석**받아야 합니다.
영상 파일을 받았을 때 어떻게 활용해야 할까?
- 1. 영상만으로 자가 진단은 금물
정확한 해석은 영상의학 전문의나 해당 과 의사에게 맡겨야 합니다. - 2. 다른 병원에 가져갈 수 있는 자료로 보관
세컨드 오피니언이나 전원 시 활용됩니다. - 3. 보고서와 함께 확인
영상만 보지 말고 판독 결과서의 내용을 함께 확인해야 전체적인 맥락을 알 수 있습니다.
결론: 영상 판독은 전문가의 영역
CT와 MRI 영상은 일반인이 보기에는 매우 복잡하고, 정확한 해석을 위해서는 해부학 지식과 병리학적 이해, 임상 경험이 필요합니다. 단순히 ‘뭔가 있어 보인다’는 이유로 병을 의심하는 것은 오진과 불필요한 불안으로 이어질 수 있습니다.
영상을 받았다면 스스로 분석하려 하기보다는, 반드시 담당 의사와 충분히 상담하고 설명을 듣는 것이 가장 바람직한 방법입니다.
'영상검사' 카테고리의 다른 글
| 복부 CT검사: 언제 필요한가요? (4) | 2025.08.07 |
|---|---|
| 일반인도 이해하는 CT검사! 조영제, 방사선, 부작용까지 정리 (1) | 2025.08.06 |
| MRI 검사 전 금속 제거, 꼭 해야 하나요? (4) | 2025.08.05 |
| 방사선 노출은 얼마나 위험할까? 안전 기준과 오해 정리 (2) | 2025.08.05 |
| CT 혈관조영술이란? 검사 목적과 절차, 꼭 알아야 할 정보 (3) | 2025.08.05 |