
병원에서 검사를 받다 보면 의사로부터 “CT 찍어보세요”, 혹은 “MRI가 필요해 보입니다”라는 말을 들을 때가 있습니다. 그런데 CT와 MRI는 비슷해 보이면서도 실제로는 작동 원리, 검사 목적, 비용, 촬영 방식까지 전혀 다르며, 어떤 검사가 더 좋은지도 상황에 따라 달라집니다.
이 글에서는 헷갈리기 쉬운 CT와 MRI의 차이를 일반인이 이해하기 쉽게 정리해드립니다.
1. CT란 무엇인가요?
CT(Computed Tomography)는 X-ray(엑스선)를 여러 각도에서 인체에 투과시켜 단면 영상을 만들어내는 검사입니다. 뼈나 장기 구조, 출혈, 염증 등 구조적인 이상을 빠르게 확인하는 데 유용합니다.
- 주요 사용 분야: 뇌출혈, 폐렴, 복부통증, 외상, 암 진단 등
- 검사 시간: 5~10분 내외
- 방사선 노출: 있음
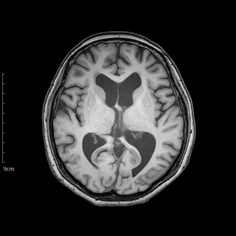
2. MRI란 무엇인가요?
MRI(Magnetic Resonance Imaging)는 X-ray를 사용하지 않고, 강한 자기장과 라디오파를 이용해 인체 내부 영상을 만드는 검사입니다. 특히 뇌, 척추, 관절, 인대, 근육, 연부조직처럼 구조가 섬세한 부위를 정밀하게 확인하는 데 탁월합니다.
- 주요 사용 분야: 뇌종양, 디스크, 관절질환, 연골 손상, 심혈관 질환 등
- 검사 시간: 평균 20~40분 (긴 경우 1시간 이상)
- 방사선 노출: 없음
3. CT와 MRI의 핵심 차이점 비교
| 항목 | CT | MRI |
|---|---|---|
| 원리 | X-ray(방사선) 사용 | 자기장 + 라디오파 |
| 방사선 노출 | 있음 | 없음 |
| 검사 시간 | 5~10분 | 20~60분 |
| 장점 | 빠르고 응급진단에 적합 | 연부조직 분석에 탁월 |
| 단점 | 방사선 노출 | 긴 시간 + 고가 비용 |
| 금속 삽입물 환자 | 검사 가능 | 주의 필요 |
| 조영제 | 요오드 성분 | 가돌리늄 계열 |
'영상검사' 카테고리의 다른 글
| CT 검사는 방사선이 많다는데 정말 괜찮나요? (4) | 2025.08.09 |
|---|---|
| 조영제란 무엇인가요? 부작용은 없을까? (2) | 2025.08.09 |
| 복부 CT검사: 언제 필요한가요? (4) | 2025.08.07 |
| 일반인도 이해하는 CT검사! 조영제, 방사선, 부작용까지 정리 (1) | 2025.08.06 |
| “CT·MRI 결과, 직접 영상 보면 병을 알 수 있을까?” (6) | 2025.08.06 |