
X-ray 검사의 기본 원리와 안전성
X-ray 검사(엑스레이)는 의료 현장에서 가장 널리 사용되는 영상검사 중 하나입니다. 빠르고 간단하며 뼈나 폐와 같은 고밀도 구조물을 선명하게 촬영할 수 있어, 다양한 질환의 진단에 활용됩니다. 이 글에서는 X-ray의 기본 원리와 검사 과정, 그리고 안전성에 대해 자세히 살펴보겠습니다.
X-ray 검사란 무엇인가요?
X-ray(엑스레이)는 고에너지 전자파(방사선)를 이용해 인체 내부 구조를 촬영하는 영상 진단 방법입니다. 인체를 통과한 X-ray는 조직의 밀도에 따라 투과율이 달라지고, 이 차이를 영상으로 변환해 뼈, 장기, 병변 등을 확인할 수 있습니다.
X-ray 검사는 어떤 경우에 사용되나요?
- 골절 진단: 손가락, 팔, 다리 등 뼈의 손상 확인
- 흉부 검사: 폐렴, 결핵, 기관지 질환 등
- 치과 진단: 충치, 턱뼈 상태 확인
- 복부 촬영: 장 폐쇄, 이물질 확인
- 건강검진: 정기 흉부 촬영
X-ray 검사의 원리
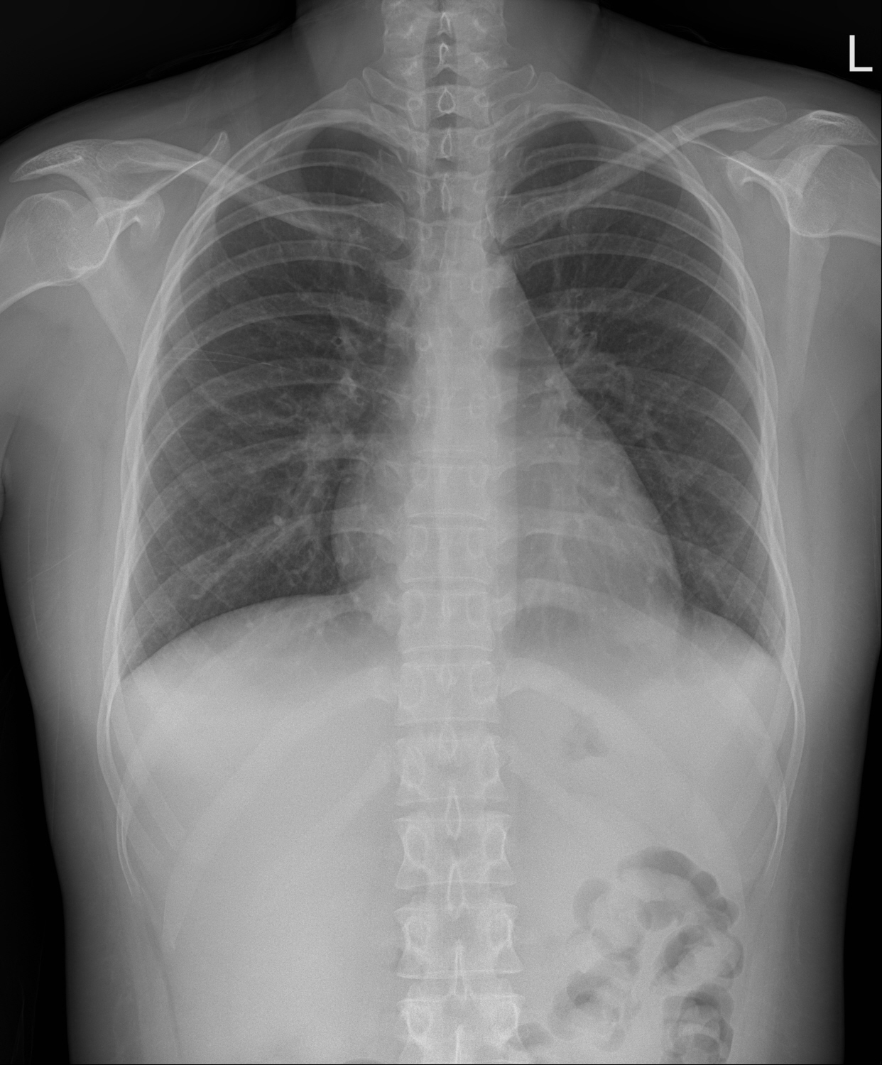
X-ray는 에너지가 높은 전자기파로, 인체를 통과하면서 조직 밀도에 따라 흡수 정도가 다릅니다. 뼈와 같은 밀도가 높은 조직은 X-ray를 많이 흡수하여 하얗게 보이며, 공기처럼 밀도가 낮은 부위는 X-ray가 통과하여 검게 나타납니다.
예를 들어, 흉부 X-ray에서 폐는 공기로 채워져 있어 어둡게 보이며, 갈비뼈는 하얗게 나타납니다. 이러한 차이를 통해 의사는 폐렴, 골절, 종양 등 다양한 질환의 유무를 확인할 수 있습니다.
방사선 노출, 정말 괜찮을까요?
X-ray 검사는 방사선을 사용하기 때문에 노출에 대한 우려가 있을 수 있습니다. 하지만, 현재 의료기관에서 사용하는 X-ray 장비는 매우 낮은 선량의 방사선을 사용하며, 필요 최소한의 횟수로 촬영이 이루어집니다.
참고: 일반적인 방사선 노출량
| 검사 종류 | 방사선량(μSv) |
|---|---|
| 흉부 X-ray 1회 | 약 100 |
| 자연 방사선 1년치 | 약 2,400 |
| 복부 CT | 약 10,000 |
위 데이터를 보면 흉부 X-ray 1회의 방사선량은 매우 낮아, 일상생활에서 자연적으로 노출되는 방사선량보다도 적습니다.
X-ray 검사 시 주의사항
- 임산부: 태아의 방사선 노출 위험이 있으므로 사전 의료진 상담이 필수입니다.
- 금속 제거: 옷, 장신구 등에 있는 금속은 영상에 영향을 줄 수 있으므로 제거해야 합니다.
- 정확한 자세 유지: 흔들림 없이 정확한 자세를 유지해야 선명한 영상이 촬영됩니다.
X-ray 검사의 장점과 단점
| 장점 | 단점 |
|---|---|
| 검사 시간이 짧고 비용이 저렴함 | 연부조직(근육, 인대) 표현에 한계 |
| 응급 상황에서 빠르게 활용 가능 | 방사선 노출 우려(누적 시) |
| 광범위한 질환 선별 검사로 사용 | 정밀 진단에는 CT나 MRI가 필요함 |
결론
X-ray검사는 빠르고 간단하면서도 다양한 질환을 초기에 진단할 수 있는 유용한 영상검사입니다. 방사선 노출이 있지만, 관리된 환경에서는 매우 낮은 수준으로 시행되므로 일반적인 검사에서는 큰 위험이 없습니다. 검사 전 주의사항만 숙지하면, X-ray는 매우 효율적인 진단 도구가 될 수 있습니다.
'영상검사' 카테고리의 다른 글
| GE Senographe Pristina 리뷰: 환자 중심 유방촬영장비의 새로운 기준 (6) | 2025.08.05 |
|---|---|
| 뇌 MRI검사: 뇌질환 진단에 필요한 이유 (1) | 2025.08.05 |
| 유방촬영장비의 종류와 기술 비교: 디지털 유방촬영기 완벽 가이드 (1) | 2025.08.05 |
| MRI검사는 언제 필요할까? (1) | 2025.08.05 |
| 폐 CT검사: 폐질환 조기 진단의 핵심 (2) | 2025.08.05 |