
뇌 MRI검사: 뇌질환 진단에 필요한 이유
두통, 어지럼증, 기억력 저하, 시야 흐림과 같은 증상이 지속된다면, 단순 피로가 아닌 뇌질환의 초기 신호일 수 있습니다. 이러한 증상에 대한 정확한 평가와 진단을 위해 활용되는 영상검사가 바로 뇌 MRI입니다. 이 글에서는 뇌 MRI검사의 특징과 목적, 필요한 경우, 검사 과정 등에 대해 자세히 알아보겠습니다.
뇌 MRI검사란?
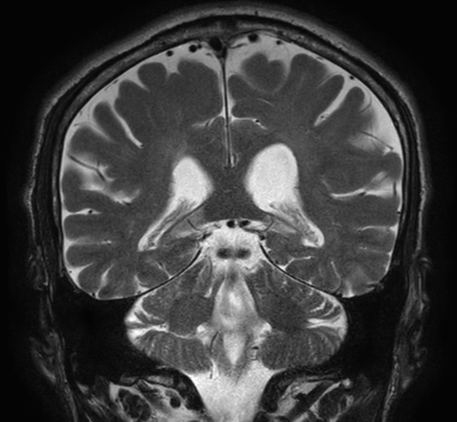
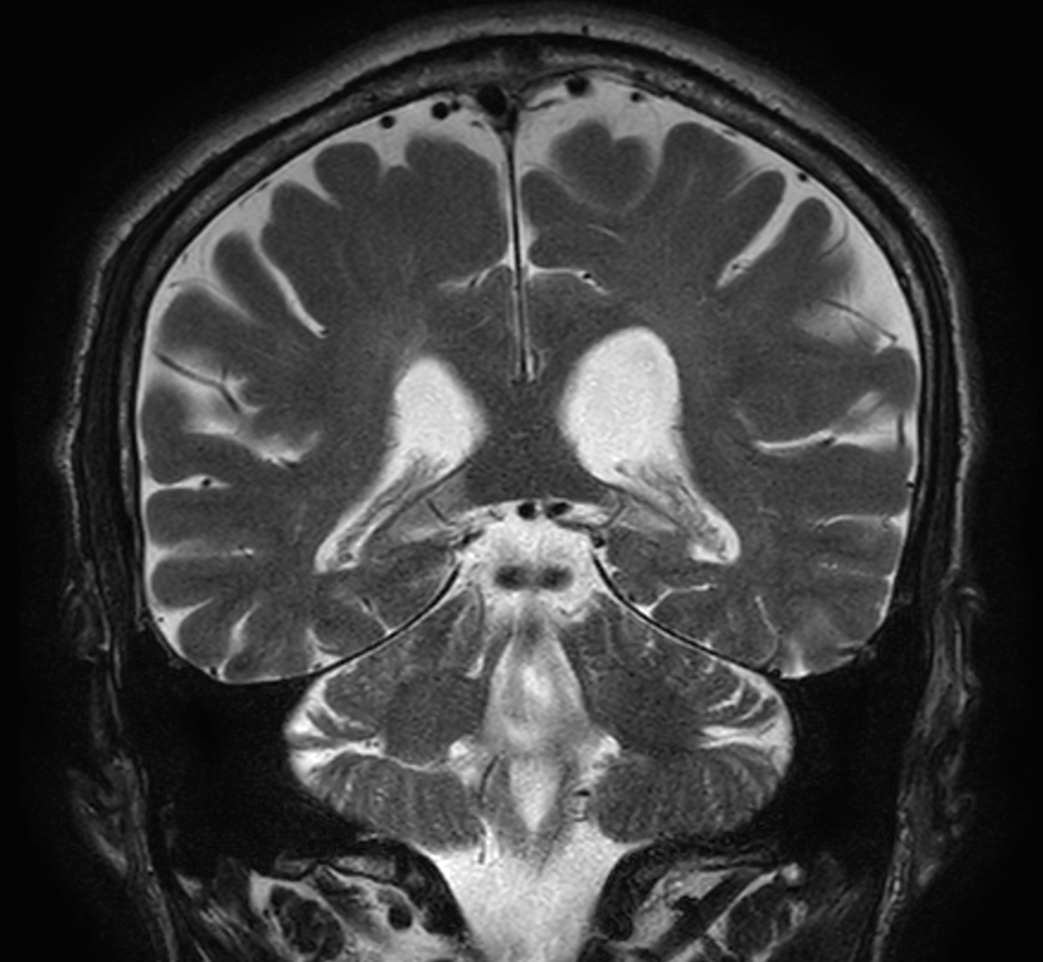
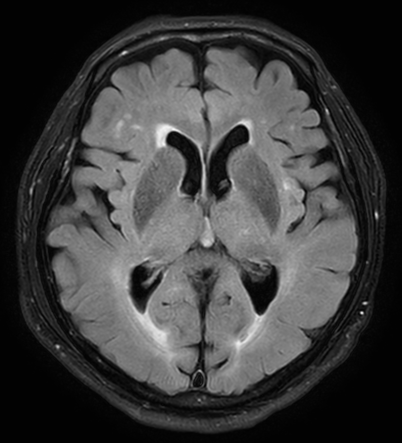
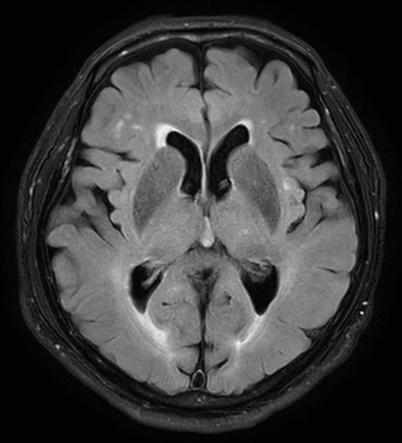
뇌 MRI(Magnetic Resonance Imaging)는 강한 자기장과 라디오파를 이용해 뇌의 구조와 기능을 고해상도로 촬영하는 영상검사입니다. 방사선을 사용하지 않으며, 연부조직 표현력이 뛰어나 뇌신경계 질환의 조기 진단에 매우 효과적입니다.
뇌 MRI가 필요한 경우
다음과 같은 증상이 있을 경우, 주치의 판단에 따라 뇌 MRI 검사가 시행됩니다.
- 지속적이거나 갑작스러운 두통
- 어지럼증, 균형감각 상실
- 시야 장애, 시야 흑점
- 의식 저하, 경련, 실신
- 기억력 감퇴, 치매 초기 의심
- 청력 이상, 이명
- 뇌종양 또는 뇌출혈 병력

뇌 MRI로 진단 가능한 주요 질환
- 뇌종양: 위치, 크기, 성질 확인
- 뇌출혈 및 뇌경색: 허혈성 및 출혈성 병변 확인
- 치매: 뇌 위축 및 혈류 감소 확인
- 다발성경화증: 신경계 염증성 질환 진단
- 기형 및 낭종: 선천적 구조 이상 확인
- 뇌동맥류: 필요 시 조영제 활용해 혈관 촬영 가능
CT와 뇌 MRI의 차이점
| 항목 | CT | MRI |
|---|---|---|
| 촬영 방식 | X-ray 방사선 | 자기장 + 라디오파 |
| 방사선 노출 | 있음 | 없음 |
| 촬영 시간 | 5~10분 | 20~40분 |
| 뇌 연부조직 표현 | 중간 | 우수 |
| 응급 진단 | 빠름 | 비응급 시 유용 |
조영제 사용 여부
뇌 MRI는 비조영 검사와 조영제 사용 검사로 나뉩니다. 조영제를 사용하면 종양, 염증, 혈관 병변의 구분이 더욱 명확해지며, 특히 뇌혈관 질환을 평가할 때 중요합니다.
- 조영제 성분: 가돌리늄 기반
- 주의 대상: 신장 기능 저하 환자, 조영제 알레르기 병력자
뇌 MRI검사 과정
- 검사 전 문진: 병력, 금속 이물 여부 확인
- 금속류 제거: 시계, 귀걸이, 카드, 보청기 등
- 검사대에 누워 약 20~40분간 촬영
- 필요 시 조영제 정맥 주사 후 추가 촬영
- 검사 중 기계 소음이 커서 귀마개 착용
검사 시 유의사항
- 협소공간 공포증이 있는 경우 사전 알림
- 심장박동기, 인공관절 등 금속 이식물 보유 시 사전 고지
- 임신 초기 여성: 필요성 여부에 따라 의료진 판단 하에 결정
검사 결과는 언제 나오나요?
촬영된 영상은 영상의학과 전문의가 판독하며, 보통 당일 또는 1~2일 이내에 결과를 확인할 수 있습니다. 이상 소견이 있을 경우 신경과 또는 신경외과에서 추가 진료를 이어갑니다.
뇌 MRI 검사 비용은?
병원 및 검사 항목(조영제 유무)에 따라 다르지만, 건강보험 적용 시 일반적으로 10~25만 원 내외입니다. 고위험군 환자는 의료진 소견에 따라 보험 적용이 확대될 수 있습니다.
결론
뇌 MRI검사는 뇌의 구조를 정밀하게 평가하고, 뇌질환의 조기 진단 및 치료 계획 수립에 필수적인 검사입니다. 방사선 노출이 없고, 신경계 이상 유무를 보다 정확하게 확인할 수 있다는 점에서 두통, 기억력 저하, 뇌 질환 가족력이 있는 경우 적극 고려할 필요가 있습니다. 이상 신호가 반복된다면, 단순 검사로 넘기지 말고 전문의 상담을 통해 뇌 MRI를 검토해보는 것이 바람직합니다.
'영상검사' 카테고리의 다른 글
| CT와 MRI의 차이점 완벽 비교 (0) | 2025.08.05 |
|---|---|
| GE Senographe Pristina 리뷰: 환자 중심 유방촬영장비의 새로운 기준 (6) | 2025.08.05 |
| X-ray 검사의 기본 원리와 안전성 (4) | 2025.08.05 |
| 유방촬영장비의 종류와 기술 비교: 디지털 유방촬영기 완벽 가이드 (1) | 2025.08.05 |
| MRI검사는 언제 필요할까? (1) | 2025.08.05 |