
폐는 인체에서 가장 중요한 호흡 기관 중 하나지만, 초기 증상이 거의 없어 폐 질환은 진단이 늦어지는 경우가 많습니다. 이때 중요한 역할을 하는 영상검사가 바로 폐 CT검사입니다. 특히 흡연자, 만성 기침 환자, 폐암 가족력이 있는 사람이라면 조기 진단을 위해 필수적으로 고려되어야 할 검사입니다.
폐 CT검사란 무엇인가요?
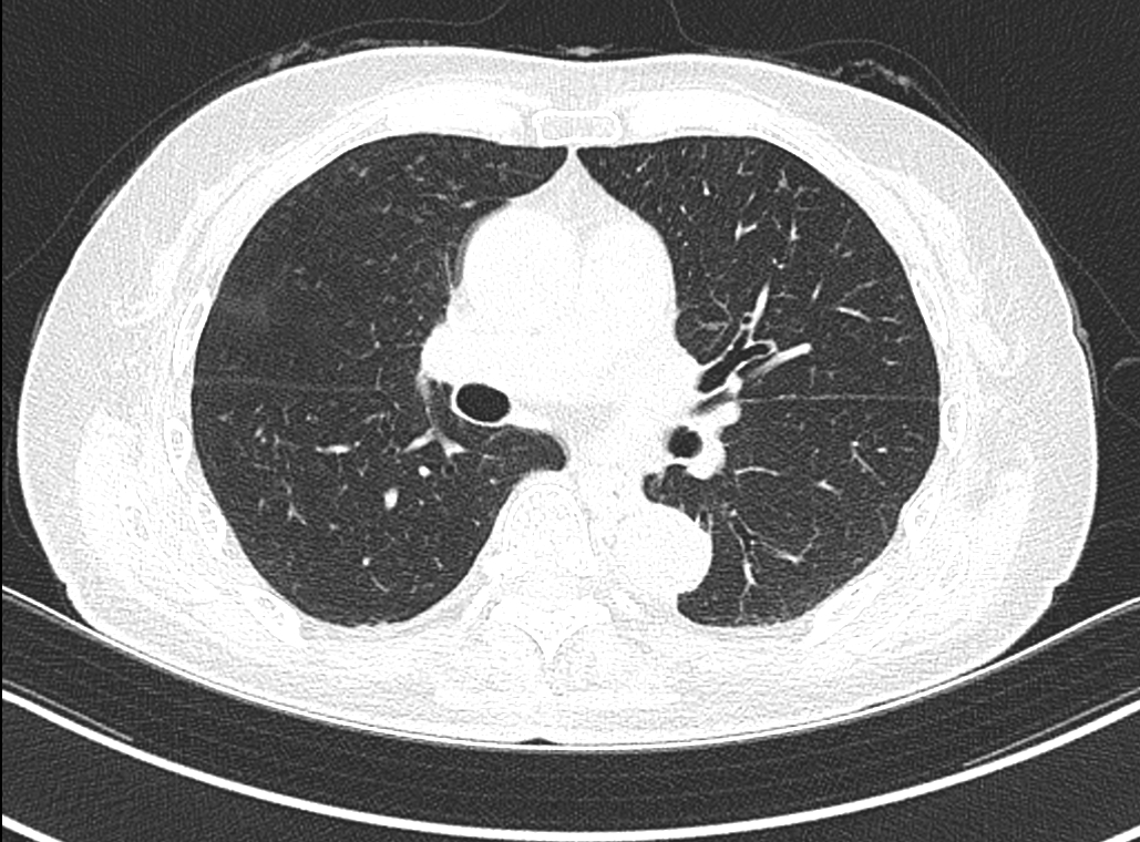
폐 CT(Computed Tomography)는 흉부를 X-ray로 여러 각도에서 촬영하고, 이를 컴퓨터로 재구성하여 폐 조직과 기관의 단면을 정밀하게 확인하는 영상검사입니다. 일반적인 흉부 X-ray보다 훨씬 더 높은 해상도를 제공해, 작은 결절이나 병변도 조기에 발견할 수 있습니다.
왜 폐 CT가 필요한가요?
일반 흉부 X-ray는 간단하고 저렴하지만, 조기 폐암이나 작은 병변을 놓칠 가능성이 높습니다. 반면 폐 CT는 다음과 같은 상황에서 매우 유용합니다.
- 폐암 조기 진단
- 간질성 폐질환, 폐렴, 결핵 등 정밀 진단
- 만성 폐쇄성 폐질환(COPD) 평가
- 기침, 객혈, 호흡곤란 등의 원인 규명
- 건강검진에서 이상 소견 발생 시 정밀 확인
저선량 폐 CT(LDCT)란?
저선량 폐 CT(Low Dose Chest CT)는 방사선 노출을 최소화하면서 폐를 정밀하게 촬영할 수 있는 방법으로, 폐암 조기검진에 가장 널리 사용됩니다. 특히 흡연력이 있는 50세 이상 성인에게 추천되며, 국가암검진 항목에도 포함되어 있습니다.
폐 CT검사 과정
- 검사 전 특별한 준비는 필요하지 않음 (금식 불필요)
- 금속 물품 제거 후 검사복 착용
- 검사대에 누워 가만히 숨을 참은 상태에서 촬영 (약 5분 소요)
- 필요 시 조영제 사용 (혈관 평가, 종양 감별 등)
조영제를 사용하는 경우
단순 폐 CT는 조영제를 사용하지 않지만, 종양 성질 구분이나 혈관 질환(폐색전증 등)이 의심될 경우 요오드계 조영제를 주사로 투여합니다. 조영제 사용 전에는 알레르기 및 신장 기능 여부를 의료진에게 반드시 고지해야 합니다.
폐 CT의 장점
- 조기 진단 가능: 1cm 이하 결절도 발견 가능
- 빠르고 간편함: 검사 시간 5~10분 이내
- 비교적 저렴한 비용: 건강검진 항목으로 적용 시 부담 적음
- 치료 경과 확인에도 효과적
폐 CT검사의 단점 및 주의사항
- 방사선 노출: 특히 정기검진 시 저선량 CT 권장
- 조영제 부작용: 드물지만 알레르기, 신장 기능 저하 주의
- 임산부 검사 제한: 임신 가능성 있는 경우 반드시 사전 상담
폐암 조기 검진 대상자 (2025년 기준)
다음 조건에 해당하는 경우, 국가 폐암검진 대상자로 저선량 폐 CT를 무료 또는 일부 부담금으로 받을 수 있습니다.
- 만 54세 ~ 74세
- 30갑년 이상 흡연력 (1일 1갑 × 30년 등)
- 최근 15년 이내 흡연
※ 국가검진 대상 여부는 국민건강보험공단 홈페이지에서 확인 가능
'영상검사' 카테고리의 다른 글
| 유방촬영장비의 종류와 기술 비교: 디지털 유방촬영기 완벽 가이드 (1) | 2025.08.05 |
|---|---|
| MRI검사는 언제 필요할까? (1) | 2025.08.05 |
| 영상의학과란? 어떤 검사를 진행하는 곳인가요? (3) | 2025.08.05 |
| 조영제란 무엇인가요? 영상검사에서의 역할과 부작용 (2) | 2025.08.05 |
| CT검사란 무엇인가요? (0) | 2025.08.05 |